Parodontologia e cura di malattie dentali
La parodontologia è la branca dell’odontoiatria rivolta alla cura della malattia parodontale. Tale patologia, se non adeguatamente trattata, è una delle principali cause della perdita di elementi dentari e può essere associata ad altre malattie croniche come il diabete e le patologie cardio vascolari.
Come si instaura la parodontite?
Di base, si verifica quando si viene a formare un accumulo di placca batterica tale da consentire la prevalenza di popolazioni batteriche “nocive” nel solco gengivale. Questi batteri sono quindi in grado di sostenere una vera e propria infezione, e di conseguenza, di provocare la stimolazione del nostro sistema immunitario.
Questo processo ha come conseguenza l’instaurarsi di un processo infiammatorio, in genere cronico, di difesa.
Quali sono le conseguenze della malattia parodontale?
Il processo infiammatorio colpisce in generale, l’apparato di sostegno del dente. Può essere interessata la sola gengiva, in questo caso si formerà la gengivite; nel caso invece vengono colpite anche le strutture sottostanti, osso e legamento parodontale, si formerà parodontite.
Come posso accorgermi se sono affetto da questa malattia?
La malattia parodontale è spesso silente, cioè non comporta sintomi particolari - in particolare il dolore – se non ad uno stadio avanzato della malattia. Tuttavia, vi sono segni ben evidenti che, ad una attenta visita, consentono di porre una diagnosi precisa in tempi adeguati per il trattamento della malattia:
- Rossore, gonfiore e dolorabilità a livello gengivale
- Presenza di sanguinamento durante l’uso dello spazzolino, del filo interdentale .
- Arretramento del livello gengivale: “i miei denti appaiono sempre più lunghi”.
- Aumento della mobilità dentaria.
- Aumento degli spazi interdentali o modifica della posizione dei denti.
- Presenza di “pus” nel solco gengivale.
- Persistente alito cattivo
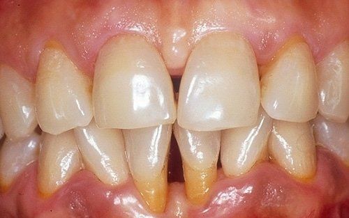
Gengivite
Si tratta della forma più lieve della malattia parodontale. Le gengive appaiono arrossate, gonfie, e sanguinano facilmente. I sintomi sono scarsi e non vanno oltre una modesta dolorabilità. La gengivite è comunemente causata da insufficiente igiene orale. I fattori che possono contribuire alla gengivite comprendono il diabete, fumo, malattie sistemiche, stress, le fluttuazioni ormonali, gravidanza, abuso di sostanze, l'infezione da HIV, e l’uso di alcuni farmaci. La gengivite è reversibile con il trattamento professionale e adeguate manovre di igiene orale domiciliare.
Come si cura la gengivite?
La gengivite è un fenomeno reversibile facilmente curabile mediante un trattamento non chirurgico professionale e adeguate manovre di igiene orale domiciliare.
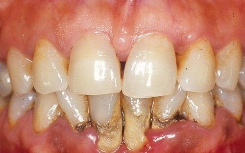
Parodontite
E' la forma più grave di malattia trattata in parodontologia: è caratterizzata infatti, non solo dai segni tipici della gengivite, ma anche dalla distruzione, di parte o completa, dell'apparato di sostegno degli elementi dentari.
Qual è il processo che porta alla comparsa di questa forma di malattia parodontale?
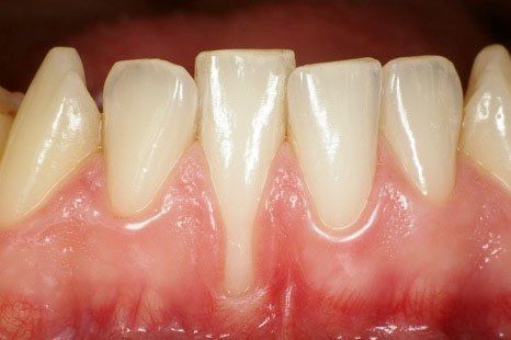
Si può guarire dalla parodontite?
Certamente! E’ necessario però procedere alla eliminazione di ciò che ha causato la malattia parodontale, l’infezione batterica, e successivamente sottoporsi alle terapie di parodontologia in grado di eliminare i difetti, a carico dei tessuti di sostegno del dente (osso e legamento parodontale) che la parodontite tipicamente provoca.
Quali sono, quindi, le terapie possibili?
I nostri trattamenti di parodontologia per la cura della parodontite sono basati sul convincimento che la salute parodontale debba essere raggiunta attraverso il trattamento meno invasivo e più conveniente. Questo è spesso realizzato attraverso il trattamento parodontale non chirurgico. E’ necessario tener presente comunque i limiti del trattamento non chirurgico: solamente quando non raggiunge la salute parodontale, allora la chirurgia può essere indicata per ripristinare strutture parodontali sane.
- Scaling e levigatura radicolare: è una accurata pulizia delle superfici radicolari per rimuovere la placca e tartaro dalle tasche parodontali profonde e per levigare la radice del dente al fine di eliminare le tossine batteriche.
- Interventi a lembo: durante queste procedure i tessuti molli (gengive) vengono incisi e successivamnete sollevati, per permettere la completa rimozione dei depositi di batteri presenti sulle pareti delle radici; a decontaminazione ultimata i tessuti vengono riposizionati,e matenuti in sede, tramite l'applicazione di suture. Si rende necesasrio, talvolta, regolarizzare il profilo osseo alterato, per eliminare tutte la asperità dove possono accumularsi nuovi depositi batterici.
- Terapie rigenerative: tali procedure si basano sulla completa eliminazione dei batteri colonizzanti il difetto psseo da trattare, e la succesiva applicazione di membrane con l'eventuale associazione con speciali materiali che stimolano la produzione di nuovi tessuti, inparticolare ossei.








