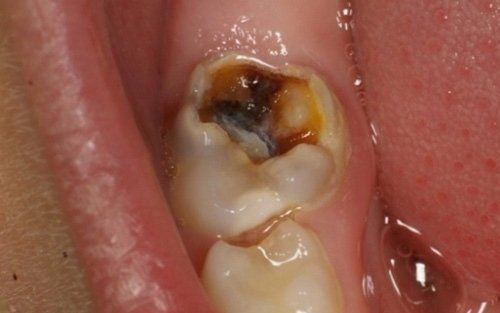
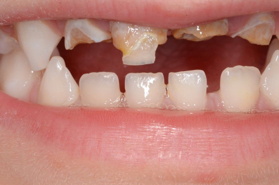
cura della malattia cariosa
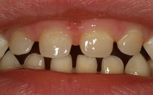
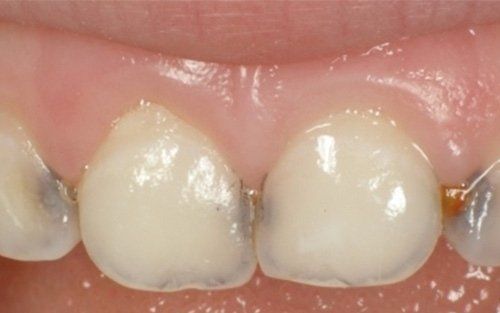
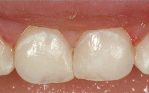
La carie nel bambino è una delle principali cause, insieme all’ortodonzia, di richiesta di intervento del dentista. La patologia ha una evoluzione particolarmente rapida in virtù della scarsità di smalto a difesa del dente da latte. Ciò comporta che, dal momento in cui il dente si ammala a quello in cui ne viene coinvolta la polpa (ovvero il nervo), il tempo sia veramente poco (vedi anche endodonzia pediatrica).
Spesso i dentini da latte cominciano a cariarsi già appena erompono nel cavo orale in quanto sono frequentemente a contatto con zuccheri semplici, come quelli veicolati dal biberon. Particolarmente aggressivi per i denti da latte risultano: tutte le tisane/infusi in commercio in bustine già pronte e pre-zuccherate; il latte zuccherato con qualsivoglia tipologia, incluso il miele; il latte e biscotti, specie nell’uso notturno; l’utilizzo quotidiano, spesso al posto dell’acqua, di succhi di frutta o bevande acide, per citare alcuni fra i più comuni errori commessi nel tentativo di dare una alimentazione completa al bambino, che spesso si traduce nella comparsa di una patologia chiamata
















