Benvenuti

La paziente richiedeva un trattamento conservativo, ma soprattutto invisibile

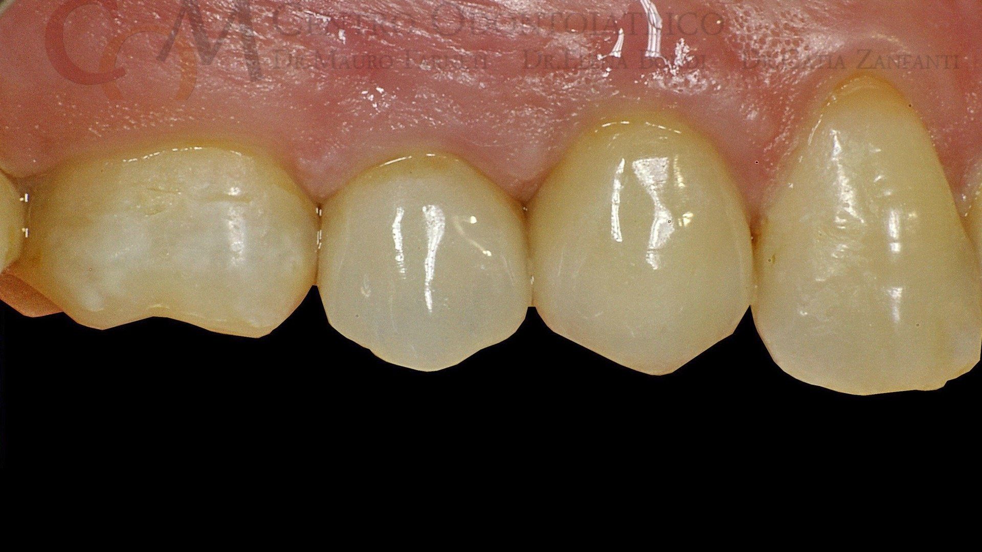
La paziente è stata trattata con faccette in materiale ceramico, e restauri diretti, conservando tutto il tessuto sano disponibile
Il dente incisivo centrale presentava un vecchio restauro, molto esteso, che la paziente temeva di rimuovere per il rischio di doversi sottoporre a terapie lunghe e costose. In realtà il dente è stato curato in una sola seduta, mediante un trattamento di restaurativa diretta, sulla base di un progetto elaborato con la paziente. Il dente ha anche mantenuto inalterata la propria vitalità pulpare!
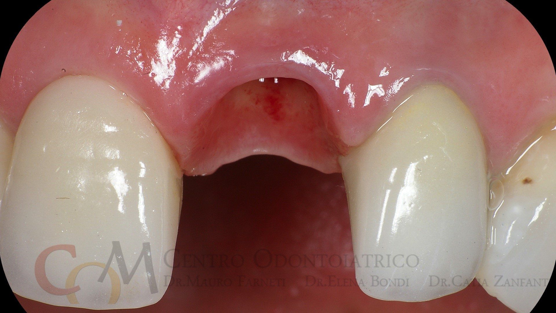
Quando il dente, ahimè, non ha più opportunità per essere mantenuto, l 'impianto rappresenta una scelta di elezione. Tuttavia è molto importante, soprattutto in aree esteticamente sensibili, gestire in maniera corretta i tessuti gengivali per conferire al lavoro definitivo la massima estetica e funzionalità.
Ecco un caso sempre più frequente in questi anni 2000! Spesso i pazienti erodono le superifici dentali con un consumo spropositato dei cosidetti "soft drinks" (cole, the freddi, bevande isotoniche), che oltre ad essere cariogeni (ovvero a predisporre alla carie) determinano anche una erosione della matrice dello smalto. E quasi sempre questi pazienti sono giovani! Anche anoressia e bulimia provocano lesioni simili, ma inizialmente sono più colpiti i denti anteriori, nelle loro porzioni palatine.










